Unveiling the Giants: Discoveries and Breakthroughs from CERN’s North Area. Surendra UikeyMarch 8, 2024March 28, 20260 This image showcases spectrometers from the EMC and NMC collaborations on the left, the NA31 experiment in the middle,… Read More
Quanta Relaunches Hyperjumps Math Game for Interstellar Arithmetic. Surendra UikeyFebruary 17, 2024March 28, 20260 Click the illustration above to play Hyperjumps In the futuristic year 2718, humanity has unlocked the secrets of a warp… Read More
Drones Uncover Fresh Insights into the Influence of Water on Mountain Formation. Surendra UikeyJanuary 30, 2024March 28, 20260 A team led by Penn State scientists, using drones to map rock properties along rivers in central Taiwan, has uncovered… Read More
The Sun’s high-energy radiation was seven times more abundant than thought, new research has found. Surendra UikeyNovember 6, 2023March 28, 20260 In 2019, a puzzling discovery left astronomers scratching their heads about the sun. After a decade of observations, researchers found… Read More
Hurricane Hilary: A Category 4 Storm, Approaching the Baja California Peninsula Surendra UikeyAugust 19, 2023March 28, 20260 As the morning of August 18, 2023 slowly dawned, Hurricane Hilary was lurking in the Pacific Ocean, threatening the Baja… Read More
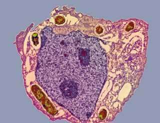
NLRP11 is a pattern recognition receptor found in the cytosol of human macrophages. Surendra UikeyJuly 28, 2023March 28, 20260 Infection by Gram-negative bacteria is a serious threat to human health. It is known to cause infection and disease in… Read More
Have computer scientists discovered the limits of major research algorithms? Surendra UikeyJuly 27, 2023March 28, 20260 Gradient descent is an essential algorithm used in many modern applied research fields. It is used to find the largest… Read More